
Loading articles...


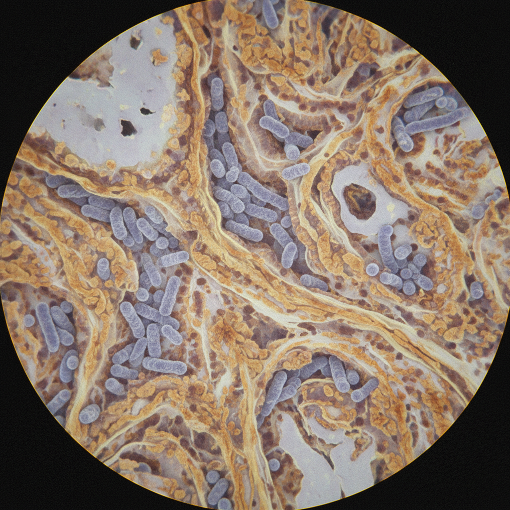
Patients with systemic sclerosis (SSc) face an elevated risk of opportunistic infections, particularly pulmonary tuberculosis (TB), especially in high-burden countries. This case highlights the need for heightened surveillance and tailored screening strateg...